Việt Nam - Kỷ nguyên vươn mình
thứ bảy, 09:54, 07/02/2026

Russian mother and son saved after serious traffic accident in Vietnam

VOV.VN - Ho Chi Minh City-based People’s Hospital 115 has successfully saved the lives of a Russian mother and her son who were critically injured in a traffic accident while travelling in Vietnam.

The two patients, G.A., 28, and his mother G.N., 53, were transferred from Ba Ria Hospital after receiving emergency treatment, including decompressive craniectomy surgery. 

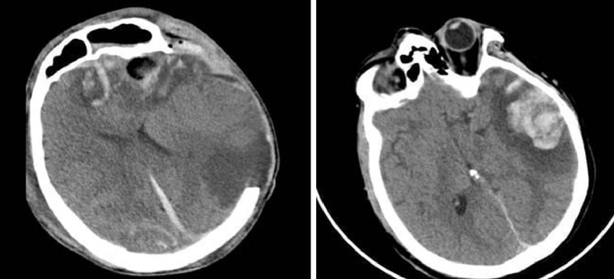
Upon admission, G.A. was in a deep coma, required mechanical ventilation and suffered multiple cerebral haemorrhages with severe brain swelling, doctors said, describing his condition as extremely critical with a high risk of death.

He was placed under intensive care and closely monitored at the hospital’s Surgical Intensive Care Unit. After more than 10 days of intensive treatment, the patient began to show signs of improvement. By the 20th day, he was successfully weaned off the ventilator, regained spontaneous eye opening and was transferred to the neurosurgery department for further care.

His mother sustained a large temporal brain contusion and showed signs of impaired consciousness. Following medical consultation, doctors opted for conservative treatment. Her condition gradually improved, with recovery of awareness, communication and language function. She was discharged after 10 days of treatment.

During their hospitalisation, the two patients had no relatives in Vietnam and faced language barriers. Medical staff provided full support, including daily care, nutrition and emotional assistance. The hospital also coordinated with the Russian Embassy to contact the family.

Ten days after her discharge, G.N. returned to the hospital to visit her son, marking an emotional reunion after weeks of critical treatment. She expressed her gratitude to the medical team for their dedication and care while she and her son were far from home.

Hospital officials said both patients are now in stable condition and are completing procedures to return to Russia for further rehabilitation.

Bình luận

Bình luận của bạn sẽ được xét duyệt trước khi đăng

Tin liên quan
Tu Du Hospital saves newborn in extremely rare twin pregnancy case

Tu Du Hospital saves newborn in extremely rare twin pregnancy case

Doctors at Tu Du Hospital in Ho Chi Minh City have successfully saved a newborn in an exceptionally rare medical case, in which the birth of the second twin was delayed by eight weeks after the first twin was lost mid-pregnancy.

Đọc nhiều