Việt Nam - Kỷ nguyên vươn mình
thứ năm, 05:10, 12/02/2026

Russian tourist given overnight emergency care after traffic accident in HCM City

VOV.VN - Doctors at People's Hospital 115 provided overnight emergency care to a 37-year-old Russian national who sustained multiple injuries in a traffic accident while travelling in Ho Chi Minh City.

The hospital said on February 12 that the patient was admitted late on January 10 in critical condition, with multiple traumatic injuries, severe breathing difficulty, chest pain and right shoulder trauma, showing signs of progressive respiratory failure.

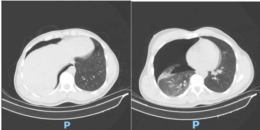
Emergency CT scans of the chest and blood vessels identified a large right-sided pneumothorax compressing the lung, fractures of the second to fourth ribs on the right side, and a severely displaced fracture of the middle third of the right clavicle.

As the patient’s respiratory condition worsened, a surgical team from the Cardiothoracic and Vascular Surgery Department carried out an emergency right pleural drainage procedure in the early hours of the same day. The intervention allowed the lung to re-expand, and the patient’s breathing improved markedly within hours.

Two days later, the drainage tube was removed and the patient was transferred to the On-demand Treatment and Sports Medicine Department for further treatment of the clavicle injury. After multidisciplinary consultation, he was cleared for surgery and underwent internal fixation of the right clavicle using a plate and screws.

The operation was successful, restoring proper bone alignment. The patient recovered steadily, with improving function of the right arm, and was discharged after four days of treatment in stable condition.

Despite language barriers and being far from home, the patient received consistent support from medical staff throughout his treatment, from clinical explanations and postoperative care to rehabilitation guidance.

Bình luận

Bình luận của bạn sẽ được xét duyệt trước khi đăng

Tin liên quan
Russian mother and son saved after serious traffic accident in Vietnam

Russian mother and son saved after serious traffic accident in Vietnam

VOV.VN - Ho Chi Minh City-based People’s Hospital 115 has successfully saved the lives of a Russian mother and her son who were critically injured in a traffic accident while travelling in Vietnam.

Đọc nhiều